
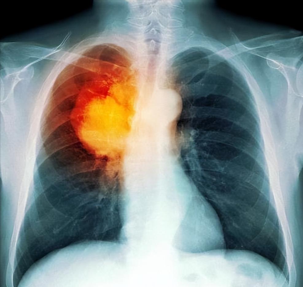
连续咳嗽了两个月,总以为是“熬夜上火”,直到一次剧烈胸痛送进了急诊。CT一出,肺部有个3厘米的阴影——肺癌晚期。
肺癌,这个全球每年夺走180万人生命的“沉默杀手”,正悄悄潜入我们身边。但今天,我想告诉你一个更关键的事实:如果能在早期发现,5年生存率能从15%飙升到80%以上! 别被“癌症”二字吓住——它不是命运的判决书,而是我们能主动干预的健康警报。

很多人以为肺癌是“吸烟者的专利”,或者“只有中老年才会得”。可现实是:我国肺癌患者中,40岁以下的年轻人占比已超10%(数据来源:中国肺癌诊疗指南2023)。二手烟、PM2.5、厨房油烟,日积月累成了“隐形推手”。
肺癌的“元凶”远不止烟草:
1. 空气污染:世界卫生组织明确将室外空气污染列为致癌物。北京、上海等大城市,肺癌发病率比农村高30%。
2. 职业暴露:石棉、砷、甲醛(常见于装修、化工行业)是“高危雷区”。
3. 遗传与基因:家族史阳性者风险翻倍,但90%的肺癌可被预防——关键在你能否避开这些陷阱。
记住:肺癌不是“命运”,而是“习惯”的代价。别再安慰自己“我身体好,不会得”——它从不提前打招呼。

肺癌早期症状像“感冒”一样模糊:干咳、胸闷、乏力……很多人忍一忍就过去了。但医生最怕的,就是这种“我以为没事”的侥幸心理。
警惕这些“危险信号”(出现2周以上不缓解,务必就医):
1. 持续干咳:像被烟呛到,久咳不止,尤其夜间加重。
2. 痰中带血:咳出的痰里有铁锈色或鲜红血丝(别以为是“上火”)。
3. 胸痛或肩背痛:深呼吸或咳嗽时刺痛,可能提示肿瘤压迫神经。
4. 莫名消瘦:体重在1-2个月内下降5公斤以上,无明显原因。
早期肺癌,90%没有明显症状——所以“症状”不是重点,重点是“高风险人群主动筛查”!

肺癌的预防,绝不是“戒烟就行”这么简单。它是一场生活细节的持久战:
1. ✅ 戒烟,从今天开始:
吸烟者患肺癌风险是不吸烟者的15-30倍!但戒烟效果立竿见影:戒烟1年,肺癌风险下降50%;戒烟10年,接近非吸烟者水平。别再想“明天再戒”——尼古丁成瘾,越早戒越轻松。
2. ✅ 堵住空气污染的“漏洞”:
居家:开窗通风时避开早晚高峰(PM2.5峰值期),用空气净化器(选HEPA滤网)。
通勤:雾霾天戴N95口罩(普通棉布无效),尽量选择公交/地铁。
厨房:炒菜时开油烟机,远离“爆炒”,用蒸煮代替煎炸。
3. ✅ 定期体检,别让“健康”变成“后悔”:
高风险人群(吸烟≥20年、40岁以上、家族史、长期接触致癌物)必须做低剂量CT筛查!
为什么是CT?普通X光漏诊率高达50%,而低剂量CT能发现0.5厘米的微小结节(早期肿瘤)。
中国肺癌筛查指南明确:每年一次低剂量CT,死亡率可降低20%。
(别怕“辐射”:一次CT辐射量≈拍5张胸片,远低于安全阈值。)

过去,肺癌常被等同于“绝症”。但2023年,全球肺癌治疗迎来革命性进展——靶向治疗和免疫治疗让晚期患者生存期延长5倍以上!
1. 靶向药:针对特定基因突变(如EGFR、ALK),精准打击癌细胞,副作用小。
2. 免疫治疗:激活自身免疫系统“围剿”癌细胞,5年生存率突破40%(传统化疗仅15%)。
3. 手术技术:微创胸腔镜手术,切口仅2cm,术后3天就能下床。
关键点:治疗效果与发现时机直接挂钩!早期患者5年生存率超80%,而晚期仅15%——早发现1年,生存率多20%。这不是理论,是无数患者用生命换来的真相。
肺癌是可防可治的。 关键在于——重视身体的细微变化,定期进行科学筛查,发现问题及时就医。