当出现头痛,腰痛,四肢疼痛时,大多数人不以为然,觉得贴贴膏药或者多休息就能痊愈,如果长时间没有好转,就上网百度查找原因,根本不放在心上。许多人并不了解,出现这些情况背后可能是脊膜瘤在作怪。
病例分享
林女士,40岁,左侧头颈部疼痛1年,一直以为只是偏头痛,药物治疗,但效果甚微。后来到我中心做了头颅磁共振平扫;颈椎磁共振平扫+增强,终于发现症结所在。
磁共振图像

T1平扫

T2平扫

T1压脂平扫

T2压脂平扫

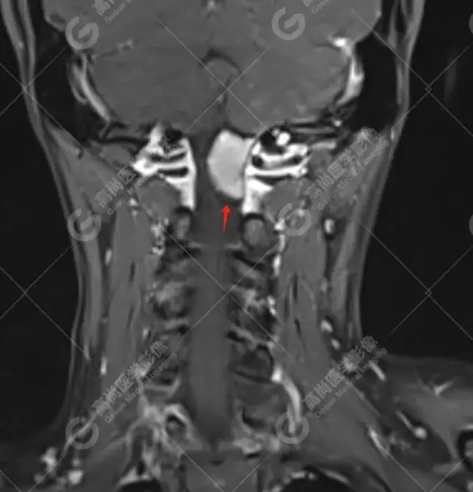
T1压脂增强冠状位

T1压脂增强矢状位

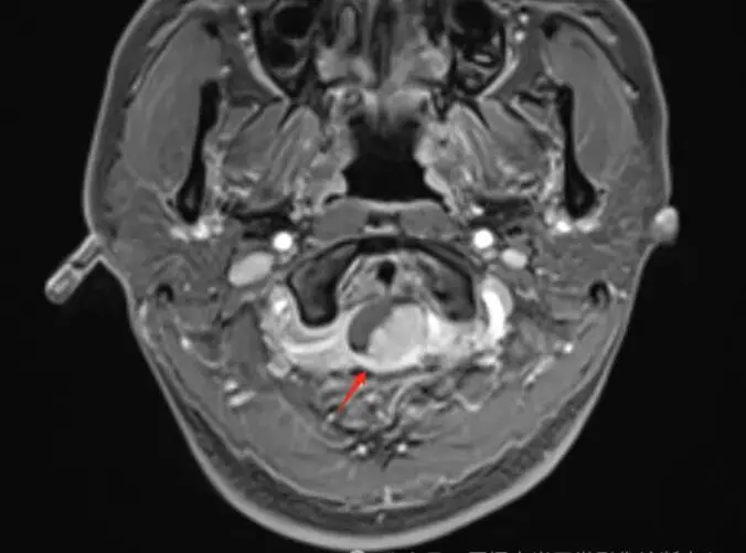
T1压脂增强轴位
检查所见:检查发现其C1椎体-向上枕大孔上部水平椎管髓外硬膜下占位,考虑是脊膜瘤。
目前林女士已至医院做了手术,术后病理也证实了我们的诊断,术后患者症状已缓解。
01脊膜瘤-最容易被忽视的椎管内肿瘤
病因:病因尚不明确,可能与雌激素水平,遗传因素,电离辐射及化学污染环境因素有关。
概述:良性肿瘤,主要起源于蛛网膜细胞,也可起源于蛛网膜及硬脊膜间质成分。
椎管内次常见肿瘤,多发于胸段(80%),颈段次之,绝大多数发生于髓外硬膜下,多见于40岁以上女性。
临床表现:脊膜瘤生长缓慢,主要表现为慢性进行性脊髓压迫症状,主要表现为运动和感觉障碍,总趋势为逐渐恶化。早期症状多不明显,不像神经鞘瘤有明显的根痛,因此在疾病早期常常被忽视。
在组织学上分为上皮型、纤维母细胞型、砂粒型、过渡型,影像学表现无明显差异。
鉴别诊断:神经鞘瘤、神经纤维瘤、畸胎瘤、脂肪瘤

02、脊膜瘤的影像诊断
大多数为髓外硬膜下,圆形类圆形软组织肿块,广基底与硬膜相连。
CT
平扫呈等或者稍高密度,瘤内有时可见不规则钙化;增强扫描呈中度强化。
MRI
T1WI多为等信号或低信号,T2WI多为等信号或稍高信号,钙化显著时信号不均质;增强扫描多呈明显均匀强化,部分可见特征性的“硬膜尾征。
MRI平扫及增强是脊膜瘤的首选诊断方法,它可以帮助我们确定肿瘤的边界及其与周围脊髓等神经结构的关系,是术前评估,术后确认是否充分切除以及肿瘤是否复发的可靠手段。
03、脊膜瘤如何治疗?
脊膜瘤虽然大多是良性肿瘤,但病情可呈持续进展趋势,有截瘫和大小便障碍的风险,因此建议尽早手术切除。脊膜瘤一般为质硬、有包膜的病变,识别度较高,也较好切除。
手术方法与神经鞘瘤类似,包括半椎板、全椎板切除术等。术前术中根据肿瘤大小、位置及毗邻关系来确定手术切除范围,尽可能地将肿物及其附着的硬膜一并切除。
脊膜瘤手术后预后好,大约95%以上的病人术后神经功能得到明显改善,并且术后肿瘤复发率低,只有大约1.3%至6.4%。
术后只要患者根据医生指导建议进行积极的健康锻炼,日常生活中注意护理,术后定期复查,脊膜瘤患者基本上能恢复到正常的生活状态。