在潮湿的环境里
霉菌往往趁人不备悄然滋生
不仅影响着居住的舒适度
更可能对健康造成潜在威胁

近期
河南一6岁女童就中招了
↓↓

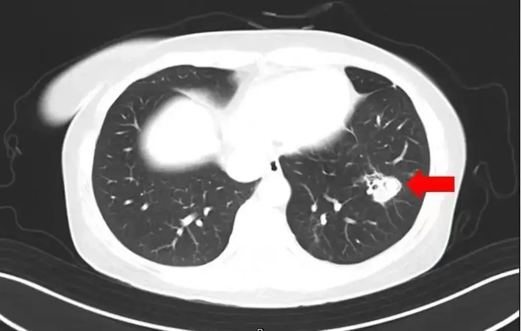
近日,一6岁女童因持续发烧17天且意识不清,被转至郑州大学第一附属医院治疗。医生检查后大吃一惊:孩子脑子竟被“啃”出大大小小十几个洞,再晚来几天可能会被“啃空”。抽取洞内积液检测后,医生锁定了“真凶”——烟曲霉菌。

医生介绍,烟曲霉菌常隐藏在潮湿环境中,孩子在此玩耍后,霉菌通过呼吸道进入血液系统,进而“爬”进了脑子。
类似事件并非个例:
2025年4月,浙江杭州一女子整理衣柜后出现发烧、咳嗽的症状,体温最高达40℃。医生问诊得知,该女子整理衣柜时发现柜内长了霉斑,便动手清理,但清理过程中没戴口罩。经检查,最终确诊其感染曲霉菌。

2025年1月,江苏扬州的张大爷为迎接春节开始大扫除,清扫过程中不慎吸入大量灰尘和霉菌孢子,导致哮喘发作。张大爷随即服用了常备的哮喘治疗药物,可症状反而逐渐加重。经检查,张大爷的肺部出现感染,确诊为肺曲霉病。

霉菌是一种真菌,广泛存在于空气、土壤、水体以及各类有机物质中,主要以菌丝的形态生长,会产生大量孢子。
霉菌有数万种,其中有30种左右寄居在家里,最常见的室内霉菌是枝孢菌、青霉菌和曲霉菌。正常情况下,霉菌是肉眼看不到的,如果在环境中能够看到,说明这里的霉菌很多。人体若经呼吸道吸入这些孢子,可能诱发一系列疾病。

室内墙角长满霉菌
需要注意的是,生活中霉菌虽十分常见,但并非接触就会感染。
首都医科大学附属北京地坛医院感染性疾病中心主任医师田地解释,大部分人机体免疫功能正常,身体能自行清除霉菌。只有当霉菌数量过多,且接触者自身免疫功能低下,才容易诱发感染。“比如接受过器官移植、需要长期接受免疫抑制治疗的患者,长期服用激素的人群,以及部分患有糖尿病而且血糖控制不好的老年人。”

侵袭呼吸系统
霉菌容易随呼吸侵入鼻腔、支气管、肺部等人体呼吸系统,严重时会诱发肺部感染,还可能累及中枢神经系统,导致真菌性脑脓肿、脑膜炎等严重病症。
影响胃肠道
霉菌可能通过饮水、吃饭等途径进入胃肠道,引发急性胃肠炎、胃溃疡等疾病,表现为腹痛、腹泻、恶心、呕吐,严重时还会伴随高烧、浑身乏力等症状。

诱发过敏
部分人接触后会出现眼睛和皮肤发红发痒、打喷嚏、鼻塞流涕等症状,严重时还会诱发过敏性哮喘。
致癌
霉菌被世界卫生组织列入Ⅰ类致癌物。自然界中霉菌的种类有3万多种,其中约200多种可致癌,常见的有黄曲霉菌、镰刀菌等。而黄曲霉菌产生的黄曲霉素,毒性是砒霜的68倍。


1.卫生间
霉菌喜欢高温高湿的环境,卫生间正好投其所好。尤其是那种不见阳光、不通风的卫生间。
墙角、瓷砖缝、浴室帘子、水龙头、浴室密封胶等处,都可能出现霉菌的身影。

建议:对于暗卫来说,最好加装并使用排风扇,洗澡后及时擦干水渍,保持卫生间的干燥卫生。
可以把漂白剂和水以1:10的比例配成溶液,拿餐巾纸在配制好的溶液里浸湿,再贴在长霉菌的地方半个小时,然后揭下,用刷子刷干净。(家里房间墙角也可以这样做)
2.冰箱门
冰箱的塑料密封条非常容易滋生霉菌,比如说链格孢、青霉、黄曲霉、烟曲霉等。

建议:每个月定期清洗冰箱,尤其注意擦洗密封条。
可以用酒精和苏打水按1:1的比例配好,用吸水性强的纱布或纸绕在叉子上,蘸一蘸溶液,沿着冰箱门缝隙擦拭清除霉菌。
3.洗衣机
雨季洗衣机内筒或洗衣篮潮湿,易滋生霉菌。
建议:定期清洁洗衣机内筒,尤其是梅雨季节,最好1~2周就用专门清洗剂给内筒做一次消毒。

4.阳台
阳台的盆栽植物容易滋生霉菌,除了湿漉漉的土和花盆,一些辅助肥料,如木屑、淘米水、鸡蛋壳等,也很容易使土壤发霉。
建议:阳台要常开窗通风换气,花草盆栽定期移至室外,照射阳光。
最后提醒
大家在打扫消毒时
做好个人防护
保持通风
戴好口罩哦~