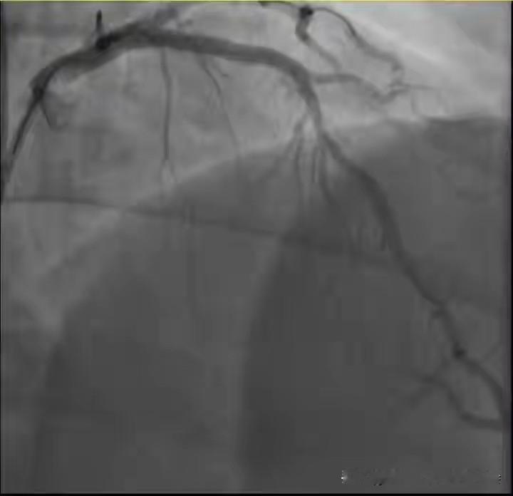
2026年1月初,两位38岁宝爸在运动后突发急性心梗被送医。专家指出,剧烈运动可能通过血压骤升、血液变稠和交感兴奋三种机制,诱发不稳定斑块破裂,导致心梗。 高风险人群包括:有冠心病家族史、三高、肥胖、长期吸烟压力大者,以及“阳康”后人群。病毒可能潜在损伤心肌或加速动脉硬化。 科学预防需做到:运动前进行心血管风险评估;遵循“循序渐进”原则,从低强度开始;充分热身与恢复;避免在极端天气和疲劳状态下剧烈运动。出现胸闷、胸痛等信号立即停止并就医。 运动是健康良药,但必须科学安全。中年不是健康保险箱,真正的健康智慧在于懂得如何安全地运动,特别是运动前专业评估对高风险人群至关重要。心梗 心梗症状 心梗风险 老人心梗 心梗预防方法 心肌猝死 心梗前兆 心源性猝死 阳康后运动导致心肌炎是真的吗? 哪些人容易发生心肌损伤? 为什么青壮年易患上心肌炎? 为什么心肌梗死与天气寒冷有关? 心肌梗塞什么原因引起的 诱发心肌梗死的因素有哪些? 为啥年轻的心肌梗死患者越来越多?


