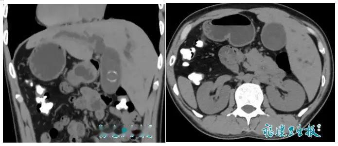
心脏长在右边、肝脏跑左边!福建惊现“百万分之一镜面人”,一场逆向手术揭开生命奇迹背后的医者匠心与人间温情 当CT影像清晰地显示心脏在右侧跳动,肝脏与脾脏如镜像般彻底反转,诊室里的空气仿佛瞬间凝固。这不是科幻电影的情节,而是近日发生在福建医科大学吴孟超纪念医院肝胆外科的真实一幕。一位因腹痛黄疸就诊的陈先生,意外被发现自己竟是全球发生率仅约百万分之一的“完全性内脏反位”者,俗称“镜面人”。更棘手的是,他还并发胆总管结石,一场颠覆常规认知的高难度手术就此拉开序幕。 当地医院看到完全反转的解剖结构影像时,只能无奈婉拒。对医生而言,这如同让习惯右手写字的人突然用左手完成精细书法,每一步操作都需逆向思维,稍有不慎便可能损伤重要血管。陈先生辗转求医的奔波与焦虑,或许只有经历过的人才懂。那种明明病痛缠身却求助无门的茫然,足以击垮许多人的心理防线。然而,生命的韧性总在绝处逢生。 “只要有一线希望,就不能让患者绝望。”李海涛主任医师这句话,成了照亮迷雾的一束光。面对这例罕见病例,医疗团队没有退缩,而是开启了全方位的“逆向备战”。他们联合影像科进行三维重建,在虚拟世界中精准复刻出患者的镜像解剖图;麻醉、护理团队反复演练,将每一个器械传递、每一项监护流程都调整为“反向模式”。这不仅是技术的挑战,更是对医者责任与初心的极致考验。 手术台上,腹腔镜显示屏里的世界是颠倒的。肝脏出现在不该出现的右侧,胆管蜿蜒在陌生的左侧。李海涛医生双手操控器械,仿佛在进行一场精密的镜像舞蹈。他必须暂时忘记数十年形成的肌肉记忆,在反向视野中避开变异血管,精准定位。最终,凭借腹腔镜与胆道镜的双镜联合,团队仅用两小时便成功取净结石,出血量不足一小杯水,且避免了患者术后长期携带引流管的痛苦。 这场手术的成功,远不止于解除一位患者的病痛。它像一面镜子,映照出当代医学在应对罕见复杂病例时,那份敢于突破常规的勇气与精细化协作的力量。它让我们看到,当技术遇上仁心,生命的奇迹便有了坚实的依托。而陈先生术后一周即康复出院的身影,更是对这份匠心最好的致敬。 令人动容的是,新闻评论区成了无数“镜面人”及其家属的倾诉角落。有人分享自己八十多岁父亲同样反位却安康长寿的故事;有人含泪回忆因类似情况早年未能挽回的孩子;更有不少网友自称或亲友是“镜面人”,并调侃体检时总把年轻医生吓一跳。这些真实的声音汇聚在一起,让我们恍然发现,这看似百万分之一的“特殊”,其实连接着无数具体而鲜活的人生。 透过现象看本质,“镜面人”议题之所以触动人心,是因为它触及了我们共同的情感内核——对生命差异的尊重、对医疗突破的期盼,以及在不确定性中对专业与善良的深切渴望。每个人的人生都可能面临某种“罕见”处境,或许是身体的特殊,或许是命运的难题。我们渴望被理解、被接纳,更渴望在困境中遇到那位愿意“多走一步”的守护者。 这场发生在福建的“逆向手术”,与其说是一场技术的胜利,不如说是一次关于信任与希望的温暖传递。它提醒我们,医学的进步不仅是攻克疑难杂症,更是让每一个独特的生命都能被看见、被认真对待。而作为普通人,当我们或家人面临健康挑战时,主动沟通、寻求经验丰富的团队、保持积极信念,本身就是一股强大的力量。 生命的形态或许千差万别,但追求健康与幸福的权利平等而珍贵。愿这份来自手术台前的匠心与温度,能照亮更多看似不同却同样值得被精心呵护的人生旅程。 (来源:综合潇湘晨报、福建卫生报、海峡都市报及网络平台热议内容) 镜面人奇迹 医者仁心





