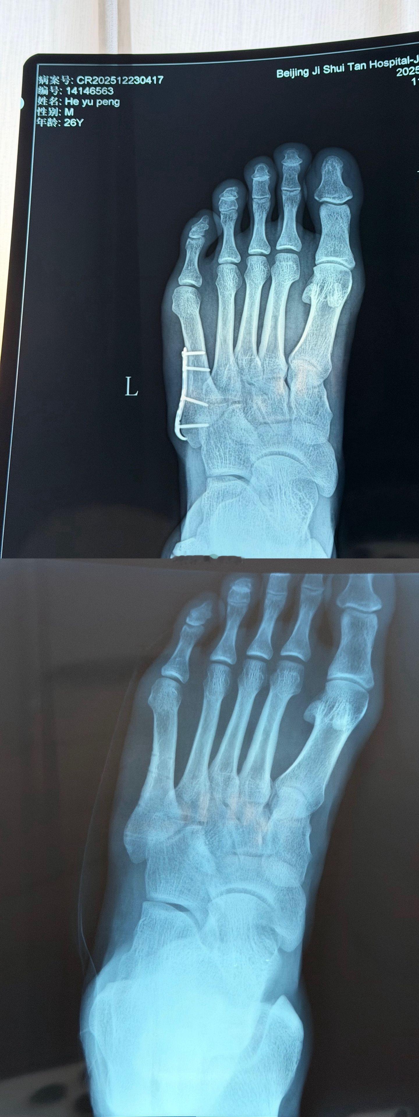
北京国安北京国安 国安球员何宇鹏更新社交媒体:“终于要和身体里这个“铁哥们”说再见了 好吧 其实哥们是钢做的,虽说为了你足球鞋都大了半码哈哈!但也非常感谢8个月的保驾护航,现在,是时候说再见了!从一开始不敢置信可以带着钢板踢球,到二次手术圆满结束,都不得不提我的大功臣,感谢积水潭孙旭主任用超高的医术精密地修补了我的身体!愿每一次伤愈都能变得更坚韧!”



北京国安北京国安 国安球员何宇鹏更新社交媒体:“终于要和身体里这个“铁哥们”说再见了 好吧 其实哥们是钢做的,虽说为了你足球鞋都大了半码哈哈!但也非常感谢8个月的保驾护航,现在,是时候说再见了!从一开始不敢置信可以带着钢板踢球,到二次手术圆满结束,都不得不提我的大功臣,感谢积水潭孙旭主任用超高的医术精密地修补了我的身体!愿每一次伤愈都能变得更坚韧!”



评论列表