肿瘤患者在诊疗过程中经常需要借助影像学手段,来评估病情状况和治疗效果。其中PET/CT是相对较贵的一项检查,价格在几千至一万不等,对于普通的患者家庭来说难免会有些犹豫。
然而,真相是PET/CT竟然可以省钱!
真是让人惊讶不已,难以置信!
现在,就让我们一起来详细了解一下PET/CT检查背后的经济成本吧!
1PET/CT有助于明确治疗决策,免除不必要的医疗费用
PET/CT能够通过检测肿瘤组织的代谢活性来评估肿瘤的性质,这对于区分良性和恶性肿瘤、确定肿瘤的边界以及是否存在转移等问题至关重要。
准确的诊断是降低医疗费用的关键之一,对于很多癌症,最佳治疗方案的确定依赖于合适的分期,就是确定有无转移灶;不同的分期,治疗方案也不同。所以准确的分期,是治疗决策的根本。据研究统计,PET/CT可以改变约40%肿瘤患者的分期,改变其治疗方式,避免了不必要的手术治疗、放化疗等,改变约10%患者的手术方式、放疗范围、化疗剂量。
对于一些需要进行活检的患者,医生可以选择那些代谢活性最高的区域进行活检。这样一来,不仅可以提高活检的准确性,还可以减少患者的身体创伤和心理负担,避免了多次侵入性检查带来的风险和不适。此外,PET/CT检查还能够检测到微小的、可能被其他影像技术遗漏的病变,这意味着它可以在早期阶段就指导活检,从而有助于早期发现和治疗潜在的恶性肿瘤。
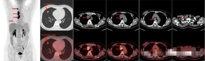
病例1

患者因胸痛就诊检查发现右肺结节,胸部CT检查显示右肺上叶尖段结节,考虑恶性肿瘤可能,预行手术治疗。然而术前的PET/CT检查提示右肺癌伴纵隔淋巴结转移及全身多发骨转移。右肺结节穿刺提示腺癌。此患者分期为IVB期,通过PET/CT避免了不必要的手术治疗。
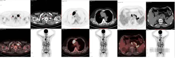
病例2
患者体检发现右肺结节,初步预行手术治疗。在术前进行了PET/CT检查。PET/CT检查除了发现右肺中叶结节糖代谢增高,还发现纵隔内及右侧锁骨上多个淋巴结增大伴代谢增高。行右侧锁骨上淋巴结穿刺,病理结果为转移性肺腺癌。按照TNM分期为IIIB期。虽然结节很小,但由于发生了远处淋巴结转移,手术治疗已不是最佳治疗手段。

2、PET/CT可以进行早期疗效监测。辅助制定放、化疗方案。免除过度与无效治疗费用PET/CT检查在放疗方案的制定中扮演着重要角色。通过精确地定位肿瘤的位置和大小,PET/CT有助于医生制定更为精确的放疗计划,确保放疗能量集中于肿瘤组织,减少对周围正常组织的损害,从而提高治疗效果,减少治疗相关的副作用和费用。

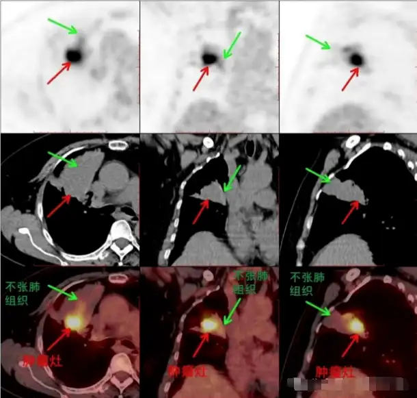
PET/CT能对肺癌放疗靶区的勾画提供参考,尤其适用于肺癌合并阻塞性肺炎或肺不张的患者,通过PET/CT提供的代谢信息可以明确肿瘤灶的实际范围,避免非肿瘤组织或正常组织的额外照射,减少放射性肺炎的发生率。
PET/CT具有在治疗早期阶段监测疗效的能力。通过PET/CT,医生能够观察到肿瘤组织的代谢活性变化,从而评估患者对于放疗或化疗的反应。PET/CT在早期疗效上的监测时间明显早于CT,对于治疗效果不佳的情况,可以及时调整治疗方案,避免继续进行可能无效的治疗。

淋巴瘤患者化疗后的CT检查提示:全身部分淋巴结较前略缩小。然而PET/CT检查却提示患者目前Deauville评分为5分,提示当前化疗效果不佳,并及时更换了治疗方案,避免了不必要的化疗。
由此可见,PET/CT真的能省钱!

PET/CT检查确实在医疗领域中提供了极大的便利和安心。
01
首先,PET/CT检查的快速是一个显著的优点。通常,一次PET/CT检查只需要大约15分钟,这种高效的检查方式为患者节省了宝贵的时间,同时也减轻了患者的焦虑和不适。
02
其次,PET/CT的一站式检查能力意味着患者可以在一个设备上同时获得功能和解剖信息,这不仅提高了诊断的准确性,还减少了患者为了不同检查而多次往返医院的麻烦。这种一站式服务不仅提升了患者的诊疗体验,也有助于减少患者因多次检查而产生的额外压力和不便。
03
最重要的是,PET/CT检查的高准确性有助于医生制定更为精确的治疗方案。这种精确的诊断信息对于患者来说是一种极大的心理安慰,因为这意味着患者将接受最适合自己病情的治疗,而不是盲目地接受各种可能不必要的医疗干预。
总之,PET/CT检查不仅能够节省医疗成本,更重要的是它能够为患者提供更加省心、便捷的医疗服务。通过减少不必要的检查和治疗,PET/CT检查有助于提高患者的生活质量,使他们在面对疾病时感到更加安心和放心。(转自核医之窗)