群发资讯网
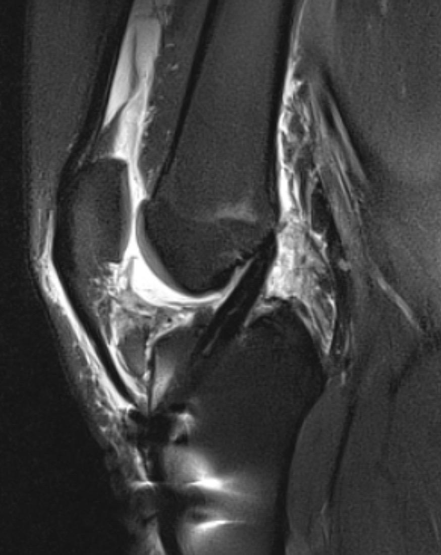
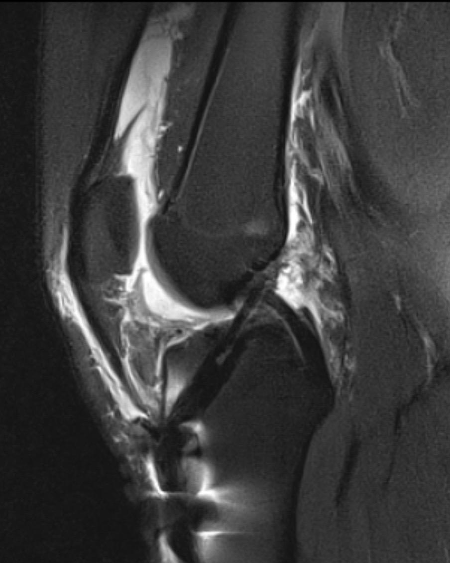
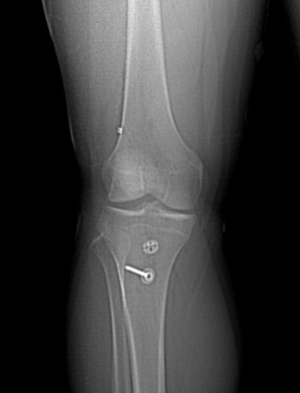
前交叉韧带重建。前叉重建+半月板修复,祝他早日康复!
2024-09-01 23:30:10
看骨科的叶培
健康
评论列表
独行患者
2
2024-09-03 11:48
半月板修复,不是小打小闹!手术关键,微创技术显神通
奶油果子
1
2024-09-03 20:17
半月板修复,不是小打小闹!手术关键时刻,缝合技术超精细,恢复快才是王道
Leah
1
2024-09-03 16:09
半月板修复,不是小打小闹!手术关键,关节镜下精细化操作,术后康复才是漫长跑道
哼哼呀嘿
1
2024-09-03 08:29
半月板修复,不是小打小闹!手术关键,恢复计划超讲究。从撕裂到重返赛场,每一步都是挑战,加油康复,王者必归!🔥💥
热门分类
推荐
热榜
军事
NBA
体育
社会
明星八卦
娱乐
财经
科技
汽车
历史
国际
游戏
动漫
公益
搞笑
商业
互联网
数码
国际足球
房产
家居
时尚
科学探索
职场
育儿
股票
教育
影视
情感
热点
中国军情
武器
中国南海
中国足球
亚洲杯
科比
综合体育
CBA
投资
楼市
大咖秀
外汇
创业
风口
SUV
豪车
概念车
优惠
新能源
美国
欧洲
朝日韩
俄罗斯
孕期
街拍
恋爱攻略
婚姻
正能量
评论列表